

まずは、染め出しを行ない磨けていないポイントをお調べいたします。
歯磨きのコツをご指導させていただいた後、専門的なクリーニングを行わせていただきます。
歯ぐきが痩せているは、歯を支える歯槽骨が溶けてしまっていることが原因です。 誤った歯の磨き方を続けると、徐々にお口の中に歯石が溜まってしまいます。
この歯石により歯周病菌が発生し、歯槽骨を溶かしてしまうのです。
臭いの原因を、まずはしっかりとチェックしましょう。
歯磨きの仕方だけでなく、日々の生活習慣に原因がある可能性もございます。
原因が分かった後は、「スケーラー」と呼ばれる器具を用いて、口臭の原因である歯垢を除去します。
歯に汚れが溜まらないよう、定期的にご来院ください。
まずは、頑固にこびりついている歯石を丁寧に取り除きます。
進行状況に合わせて、外科治療も視野にいれながら治療を進めていきます。
日本は「歯周病大国」と呼ばれており、30代の約8割が歯周病だといわれています。
歯周病は、歯周細菌と呼ばれる細菌が、歯ぐきの内側に入り込むことで発生します。歯周病が進むと、歯ぐきだけではなく、歯を支えている顎の骨(歯槽骨)にまで炎症が及びます。進行を抑えられなければ歯を支えることが困難になり、最終的には歯を失ってしまう恐ろしい病気です。
歯周病を予防するには、早期発見・早期治療が欠かせません。

歯磨きや、固いものを食べたときに出血する場合があります。歯の周りにある歯周ポケットと呼ばれる溝が広がり、歯垢がたまりやすくなっています。
歯肉炎から更に細菌感染が進んだ状態で、歯ぐきが腫れ、顎の骨が溶け始めます。
歯ぐきの腫れが増し、ブヨブヨと腫れぼったくなります。歯磨きでの出血が増え、歯肉も減ってしまって歯が長くなったような感じがします。
顎の骨の溶解も進んでしまい、歯のグラつきがひどくなります。出血だけでなく膿が出たり、口臭がより強くなったりし、最悪の場合、歯が抜け落ちます。
初期の歯周炎の段階では、きちんと歯磨きをすれば改善する場合があります。当院では、担当歯科衛生士が正しい歯ブラシの持ち方・使い方・歯磨きの仕方をしっかりアドバイスいたします。お口の中を清潔に保ち、虫歯や歯周病を予防しましょう。
「スケーラー」と呼ばれる器具を用いて、歯周病の原因となる歯垢を除去します。軽度の歯周病に対して行う治療です。歯石は歯磨きでは取れないので、定期的に歯科医院で取ってもらいましょう。
歯周病が進行すると歯周ポケットが深くなるため、スケーリングだけでは歯の汚れを取り除くことができません。そのため、「キュレット」といわれる専用の器具を歯周ポケット内部に入れ、歯周ポケットの奥深くにこびり付いた歯石を取り除きます。
スケーリングやルートプレーニングを行っても、なかなか改善しないことがあります。その場合は、歯肉に麻酔をして、歯周ポケット内の歯石・歯垢や、歯周病に感染した歯ぐきを除去します。
中程度~重度の歯周病に対して行う外科的手術です。麻酔をかけて歯肉を切り開き、歯石、膿、炎症を起こした歯肉を切除します。最後に元通り縫い合わせて完了です。
重度の歯周病によって破壊された骨は、自然に再生することはございません。歯を支えている組織が失われてしまった部分には、再生を促進する薬剤を塗り、健康な歯周組織を取り戻します。

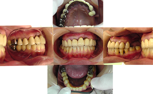
重度の歯周病に罹患していらっしゃいました。
被せ物もお口の状態と合っていなかったため、歯周病治療と補綴物の修復が必要です。



まずは、歯石をとるために丁寧にスケーリングを行います。
歯周病が初期段階の場合は、このスケーリングで完治することもございます。
重度の歯周病に罹っていたため、歯周外科治療を行いました。
歯肉を切開し、深い部分に残っている歯石を取り除きます。
新しい補綴物が完成するまで仮歯をつけてお過ごしいただきます。
製作した補綴物を装着します。
この患者さんはバリアソフトという補綴物を選択されました。
患者さんにとって扱いやすく、メインテナンスも簡単に行うことができます。
価格も抑えてお作りするこ とが可能です。